Tác Hại Của Cao Răng Và Cách Ngăn Ngừa
Cao răng khiến răng mất đi vẻ thẩm mỹ và khiến bạn tự ti khi nở một nụ cười hay giao tiếp với bạn bè xung quanh. Đừng nghĩ nó chỉ là những mảng bám có trên răng bình thường mà nó còn tiềm tàng nhiều tác hại nữa đấy.
Vậy cao răng “đe dọa” sức khỏe của bạn như thế nào? Hãy cùng tìm hiểu bài viết dưới đây để có câu trả lời bạn nhé!
Cao răng là gì?
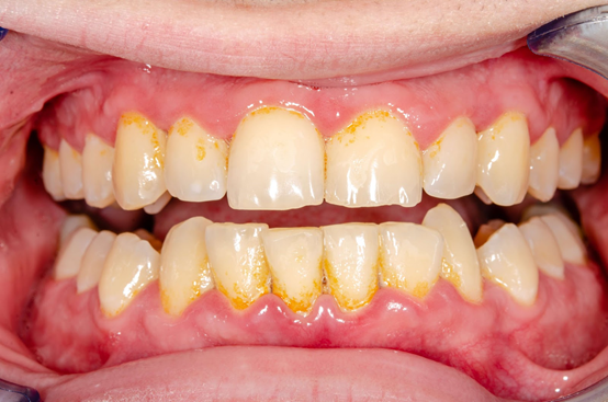
Cao răng là mảng bám hay còn là chất cặn cứng của những muối vô cơ (canxi carbonat và phosphate) cùng các cặn mềm là những mảnh vụn thức ăn, những chất khoáng trong khoang miệng, vi khuẩn,… liên minh với sự lắng đọng sắt của huyết thanh trong máu tạo thành.
Bạn có thể tham khảo: Các câu hỏi về dịch vụ lấy Cao răng tại nha khoa Aquacare
Cao răng xuất hiện chỉ sau khi bạn ăn 15 phút. Nó là một lớp màng mỏng bám trên bề mặt răng gọi là màng sinh vật học. Đây là nơi các vi khuẩn bám tham gia và sau một tuần nó hình thành tổng thể và dày hơn cũng như đổi mới độ pH, tạo điều kiện sinh ra các mảng cứng lòng vòng đó cổ lỗ răng và dưới nướu chính là cao răng. Cao răng lúc mềm có thể được làm sạch bằng bàn chải đánh răng, nhưng với những cao răng lâu ngày, dày và “cứng đầu” thì sẽ cần đến sự can thiệp của nha khoa.
Theo một nghiên cứu được công bố, khoảng 70% trọng lượng mảng bám trên rằng là vi khuẩn, tức trong 1mg mảng bám (bằng kích thước đầu tăm) chứa tới một tỉ con vi khuẩn.
Các tác hại của cao răng
Như đã nói ở trên, cao răng chứa nhiều vi khuẩn mà chúng ta cứ nghĩ là vô hại. Tuy nhiên nó lại có hại vô cùng và ảnh hưởng đến nhiều vấn đề sức khỏe răng miệng.
Hơi thở có mùi khó chịu
Một số hợp chất bay hơi từ lưu huỳnh có trong cao răng như hydrogen sunlfide, methyl mercaptan, dimethyl sulfide sẽ phân hủy trong môi trường răng miệng chứa nhiều enzyme, từ đó sẽ gây ra mùi hôi miệng khó chịu.
Sâu răng
Bạn có thể hiểu đơn giản rằng khi trong khoang miệng có cao răng, đồng nghĩa với việc có nhiều vi khuẩn đang sinh sôi trong ấy. Và tình trạng sâu răng hoàn toàn có thể xảy ra khi có quá nhiều vi khuẩn trú ngụ trong cao răng mà bạn lại “làm ngơ” không điều trị. Vi khuẩn này lên men trục đường trong thức ăn tạo axit và những hợp chất có tính axit có thể làm cho hỏng men răng và gây nên trạng thái sâu răng.
Tiêu xương hàm
Độc tố của vi khuẩn có trong cao răng gây ra tình trạng viêm. Từ phản ứng viêm này gây ra hiện tượng tiêu xương ở răng làm cho lợi mất chỗ bám dẫn đến càng ngày răng càng dài, để lộ ra vùng xương răng không được tổ chức quanh răng bảo vệ. Bệnh nhân sẽ thấy xuất hiện cảm giác ê buốt khó chịu.
Viêm nướu, viêm nha chu
Cao răng trú ngụ lâu ngày trên răng và không được lấy thường xuyên sẽ tích tụ lại, tạo vô số vi khuẩn gây bệnh về nướu, viêm nha chu dẫn đến những triệu chứng chảy máu chân răng, tụt lợi,…
Ảnh hưởng đến sức khỏe tổng thể
Không chỉ dừng lại ở việc đe dọa sức khỏe răng miệng mà cao răng còn ảnh hưởng tiêu cực đến sức khỏe tổng thể của chúng ta. Những bệnh có thể bị gây ra bởi cao răng như đái tháo đường, bệnh tim mạch, viêm amidan,…
– Chăm sóc răng miệng đúng cách: mỗi ngày, bạn nên chải răng 2 lần và dùng các loại kem đánh răng có fluoride kết hợp với các loại nước súc miệng. Ít nhất 6 tháng/lần đi kiểm tra răng miệng định kỳ.
– Với những người bị lòi chân răng hoặc đeo răng giả, nên sử dụng những chiếc que và bàn chải đặc biệt để loại bỏ các mảng bám trên răng và kích thích lợi.
– Tạo cho bản thân thói quen sử dụng chỉ nha khoa để loại bỏ những mảnh vụn thức ăn mà không làm tổn thương đến nướu hay chân răng.
– Ăn uống những thực phẩm tốt cho răng như táo, trà đen, đinh hương, dầu mè,…
– Hạn chế ăn những thức ăn chứa nhiều vị ngọt vì chất ngọt dễ làm hại răng, ăn càng nhiều kẹo bánh và đường thì đồ ngọt sẽ làm phát sinh vi khuẩn trong miệng càng nhiều và càng nhanh hình thành cao răng, làm hại men răng.
Hiểu được những tác hại mà bạn đã từng lầm tưởng là “vô hại” của cao răng thì ngay bây giờ hãy cùng với những người thân trong gia đình mình chăm sóc răng miệng thật tốt bạn nhé. Và đừng quên đến nha khoa AquaCare để thăm khám răng định kỳ 6 tháng 1 lần giúp bạn có nụ cười rạng rỡ hơn.
Mọi vấn đề cần được tư vấn thêm về Dịch vụ Cao răng bạn vui lòng liên hệ với Nha khoa AquaCare để nhận được sự hỗ trợ và tư vấn tận tình và miễn phí từ đội ngũ Y Bác sĩ lấy Cao răng chuyên nghiệp của chúng tôi.
